عندما زارت سيدة في الثلاثينات من عمرها مستشفى تشارلز جايردنر في غرب أستراليا وهي تشكو من ألم غير محتمل في معدتها، عجز الأطباء في البداية عن تشخيص علّتها، وحاروا في أمرها. وعند إجراء تحليل دموي للسيدة، أشارت النتائج إلى عدم وجود زيادة في تعداد الكريات البيض لديها، مما يعني بأن حالتها لم تكن ناجمة عن عدوى.
تقول الدكتورة تاليا شيبرد، عضو الفريق الطبي الذي أشرف على حالة السيدة، وأعد تقريراً حولها جرى نشره مؤخراً في المجلة الطبية البريطانية BMJ: "قمنا أيضاً بتحرّي وظائف الكلية والكبد لمعرفة ما إذا كانت ثمة مشكلة كبيرة في أحد هذين العضوين الهامين. إلا أن الفحوص لم تظهر وجود أي مشكلة فيهما."
وبحسب السجلات الطبية للسيدة المريضة، فهي لم تخضع مؤخراً لأيّة عملية جراحية، ما يعني استبعاد أن يكون أحد الجراحين قد نسي شيئاً في جوف المريضة، وهو احتمال وارد جداً على الرغم من غرابته. ففي دراسة استقصائية أجريت في العام 2013 خلص الباحثون إلى أن الأطباء في الولايات المتحدة الأمريكية قد تركوا وراءهم 770 جسماً غريباً في أجساد المرضى على مدى سبع سنوات، وقد تراوحت تلك الأجسام ما بين قطع الشاش القماشية، أو المناشف الجراحية، أو أجزاء مكسورة من الأدوات الجراحية. وبالطبع، يمكن لهذه المنسيّات أن تُسبب مشاكل خطيرة للمريض، وقد تودي به إلى الهلاك.
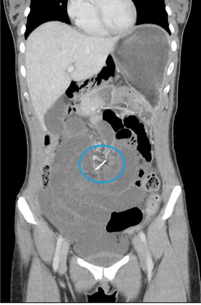
ولكن، وبعد إجراء تصوير شعاعي للسيدة بتقنية التصوير الطبقي المحوري بالأشعة السنية، أظهرت النتائج بأن ثمّة جسم غريب يوجد خلف سرّة البطن تقريباً، وكان الجسم عبارة عن سلك معدني يخز أمعاء السيدة.
تقول شيبرد: "لقد أُصبنا جميعاً بالدهشة، فلم نكن نتوقع ذلك أبداً. فقد اشتبهنا في البداية بأن يكون ذلك الجسم عبارة عن عظمة سمكة، لأن الناس كثيراً ما يبتلعونها عن غير قصد فتعلق في أحد أجزاء الجهاز الهضمي، إلا أن الكثافة الكبيرة للجسم الذي ظهرت صورته في اختبارات الطبقي المحوري كانت تشير إلى أنه جسم معدني."
وبحسب الأطباء، فإن المريضة كانت تستخدم جهازاً لتقويم الأسنان منذ ما يقرب من عشر سنوات، وقد ابتلعت فيما يبدو أحد أسلاك الجهاز المستخدم لرصف الأسنان. وقد بلغ ذلك السلك من الطول حوالي 7 سنتيمترات.

وتقول شيبرد بأن هذه الحالة لا تشكل الحالة الأكثر غرابة لابتلاع أجسام غريبة، فكثيراً ما يراجع المرضى المستشفيات بسبب ابتلاعهم أشياء مثل اسفنجة التنظيف، أو سلسلة مفاتيح، أو ضوء صغير. ولعل المثير للدهشة في هذه الحالة هو أن السلك المعدني قد بقي في الجسم لمدة طويلة دون أن يتسبب بأية مشاكل ظاهرية. تقول شيبرد: "إن غرابة هذه الحالة تكمن في عدم ظهور أعراض لابتلاع الجسم الغريب لفترة طويلة."
وبحسب الباحثين، فإن السبيل الهضمي الممتد من الفم إلى الأمعاء والشرج، يتضمن الكثير من الانحناءات والالتفافات، بحيث يمكن للسلك أن يعلق بإحداها ويسبب مشكلة، خاصةً مع الأخذ بالاعتبار الفترة الطويلة التي قضاها في جسم المريضة دون أن تشعر به. تقول شيبرد: "غالباً ما يراجعنا الناس في وقت أبكر من ذلك، وذلك لأن وصول الجسم الغريب إلى المعدة والأمعاء قد يؤدي إلى انثقابها وحدوث اختلاطات لا تُحمد عقباها. ولكن ذلك لم يحدث في هذه الحالة.. هكذا بكل بساطة." وعوضاً عن ذلك، فقد بقي الجسم الغريب في مكانٍ ما من الجهاز الهضمي لسنوات طويلة، إلا أنْ انزاح من مكانه، فتسبب بآلام هضمية شديدة دفعت المريضة لزيارة المستشفى.
من الجدير ذكره بأن الأطباء قاموا بإزالة السلك المعدني وبدأت السيدة تسترد عافيتها بشكل جيد.