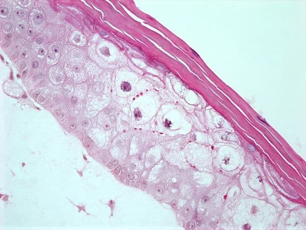
إذا نظرت إلى بشرتك، فإن معظم ما ستراه هو خلايا ميتة بالفعل. وتحمي هذه الطبقة الخارجية الرقيقة الخلايا الحية تحتها أثناء تطورها.
يقول تييري وورك، أخصائي أمراض الحياة البرية في الماسح الجيولوجي الأميركية: "هذا هو ما يفسر تقشر الجلد، فخلايا البشرة مصممة لكي تنضج ثم تنفصل". وقد صرح وورك وزملاؤه في يونيو 2017 بأنهم نجحوا في محاكاة هذه العملية على جلد السلاحف البحرية. ولا يعني هذا أنهم قاموا بتجميل وجه السلحفاة، ولكنهم قاموا بتنمية طبقات من جلدها في المختبر.
يقوم وورك بدراسة الفيروس المسؤول عن المرض المميت الذي يدعى الورم الحليمي الليفي، والذي يسبب نمو الأورام على امتداد جلد السلحفاة، وداخل جسمها. يقول وورك: "حتى ننمي هذا الفيروس، علينا أولاً أن نقوم بتنمية الجلد في المختبر، لأن هذا الفيروس لا ينمو إلاعندما تنضج خلايا الجلد". وقد تساعد زراعة هذا الفيروس الباحثين في إنقاذ السلاحف البحرية، وربما تلقي الضوء على كيفية تكاثر فيروسات هيربس عند الإنسان.
وتمثل جهود وورك المرة الأولى التي ينجح فيها العلماء بإجراء الهندسة الوراثية لجلد الزواحف، بينما استطاع الإنسان أن يصنع نسخته المخبرية من جلد الثدييات على مدى عقود من الزمن. ويمكن أن يساعد الجلد المصنع مخبرياً في إيجاد علاجات للأمراض، وشفاء الجروح، والاستغناء عن الحيوانات من اختبارات مستحضرات التجميل، وهندسة جلد يحاكي المظهر والإحساس لجلد الحيوان الحقيقي. وبهذه الطريقة نقوم بمحاكاة الجلد من أجل جني فوائد تعود بالنفع على البشر والمخلوقات الأخرى.
محنة السلاحف
يصيب الورم الحليمي الليفي غالباً السلاحف البحرية الخضراء ، على الرغم من أنه يظهر أحياناً في أنواع أخرى من السلاحف البحرية. ويمكن لهذا المرض أن يضعف السلاحف من خلال نمو الأورام التي تمنع الحيوان من الرؤية بشكل صحيح، أو من الأكل، أو من خلال كبح الجهاز المناعي.
ولمكافحة هذا المرض، يجب على العلماء اختبار كيفية تكاثر فيروس تشيلونيد هيربس 5 -المعروف اختصاراً بـ ChHV5- داخل الخلايا الحية. ولهذا الغرض قام وورك وفريقه بجمع عينات الجلد من السلاحف البحرية الخضراء المصابة بالورم الحليمي الليفي، والتي ماتت للتو، أو التي ستتعرض قريباً للموت الرحيم. ثم قاموا بصنع هلام من الكولاجين -وهو نفس البروتين الذي يعطي الجلد ثباته- وزرعوا فيه خلايا مأخوذة من مناطق عميقة من جلد الحيوان المتبرع. وهي الطبقة التي نراها عندما نفحص حقيبة جلدية أو زوجاً من الأحذية. ثم قاموا بتنمية خلايا الجلد السطحية فوق هذه الدعامة. وكانت ثمرة عملهم سدادات جلدية صغيرة بعرض 5 أو 6 ميلليمترات. ولكنها -وفقاً لوورك- تبدو تحت المجهرمشابهة تماماً لجلد السلحفاة.
لا يمكن زرع فيروس هيربس تشيلونيد 5 وبعض الفيروسات الأخرى (مثل تلك التي تسبب الثآليل عند الإنسان) في المختبر دون بيئة تحاكي شكل الجلد، ويسكنها خلايا حية ناضجة. أما الفيروسات الأخرى فهي أقل تطلباً، بما فيها فيروسات هيربس البسيطة (التي تسبب آلام البرد ومرض هيربس التناسلي عند الإنسان). وتنمو فيروسات هيربس البسيطة والفيروسات الأخرى عادة على أوساط زرع مسطحة من خلايا الجلد في طبق بتري. ولكن هذه الظروف لا تعيد تشكيل وتركيب الجلد الحقيقي. ولذلك ربما يكون هناك أفكار أخرى لزرع الفيروسات. يقول وورك: "لم نر حقاً ما يفعله الفيروس في التركيب الحقيقي ثلاثي الأبعاد للجلد المعاد تشكيله".
عندما قام وورك وفريقه بزراعة فيروس ChHV5 في جلد السلاحف، لم يتصرف هذا المسبب المرضي كما كان متوقعاً. فقد شكّل الفيروس تراكيب ذات مظهر غريب يشبه شكل الشمس، لتعمل كمصانع داخل الخلايا التي استوطنها الفيروس وقام بنسخ نفسه فيها. يقول وورك: "كانت الطريقة التي وُضعت فيها كل هذه المكونات مع بعضها، مختلفة تماماً عن الطريقة التي رأيناها في فيروسات هيربس التقليدية".
وقد يعني هذا أن فيروس هيربس البسيط، وفيروسات هيربس الأخرى التي تصيب الإنسان تشكل أيضاً تراكيب مشابهة لتكوين فيروسات جديدة. يقول وورك: "إن عملية تكاثر فيروس هيربس هي بالفعل أكثر تعقيداً بكثير مما يظن الناس". وكلما عرفنا أكثر عن كيفية تفاعل الفيروسات مع الخلايا، زادت فعالية الأدوية التي يمكن أن ننتجها.
والآن وبعد أن قام العلماء بزراعة الفيروس ChHV5 في المختبر، ستكون الخطوة التالية هي فحص الدم من أجل الكشف عن الورم الحليمي الليفي. وهذا من شأنه أن يرشدهم إلى أن المرض يتحرك في منطقة خاصة من جسم السلحفاة قبل موتها. يقول وورك: "إن السلاحف البحرية تعيش في عالم من الألم، ومع الوقت تصاب بالأورام بحيث يفوت الأوان لعمل أي شيء".
ولن يكون حقن أو علاج جميع السلاحف مباشرة أمراً عملياً. ولكننا قد نكون قادرين على تثبيط انتقال المرض، بنفس الطريقة التي نستخدم بها مبيدات الحشرات والشبكات التي توضع فوق الأسرّة لمنع البعوض من نقل الملاريا.

والآن وقد تمت زراعة الجلد في المختبر بنجاح، يمكن استخدام هذه التقنية لعمل أبحاث على أمراض الجلد عند الزواحف والبرمائيات الأخرى. وقد يساعد الجلد المعدل وراثياً في تعليمنا المزيد عن المرض الفطري عند الثعابين الذي يهدد حياة الثعابين في وسط غرب الولايات المتحدة، أو الفطريات الكيتريدية التي تصيب الضفادع حول العالم.
شفاء الجروح
لا يملك جلد السلحفاة بصيلات شعر أو غدداً عرقية، ولذلك فإن هندسته وراثياً تعتبراً أسهل قليلاً من جلد الإنسان. ومع ذلك، فإن التقنية التي استخدمها وورك لمحاكاة جلد السلحفاة البحرية تم تكييفها من التقنية الشائعة المستخدمة لزرع جلد الإنسان. وتعتبر بدائل الجلد بديلاً لاستخدام الطعوم المزروعة من مكان آخر على جسم المريض لتغطية الحروق أو الجروح المزمنة الأخرى. يقول فينسنت فالانجا، الأستاذ الفخري لقسم الأمراض الجلدية في كلية الطب بجامعة بوسطن: "سيكون هناك عدد محدود من المرات التي سيسمح فيها المرضى بإخراج الطعوم من منطقة الفخذ عندهم. وقد نالت هذه المنتجات الجاهزة شعبيتها بسبب ذلك". وقد أدت دراسات فالانجا على الجلد الحي المحضر حيوياً إلى اعتمادها من قبل إدارة الغذاء والدواء للمساعدة في شفاء الجروح غير المندملة بسرعة أكبر.
وبخلاف طعوم الجلد، فإن الجلد المحضر حيوياً لا يلتصق، وفي النهاية يتفكك. وهو مع ذلك يحمي الجروح ويحفز عملية الشفاء الطبيعي للجلد. إن استخدام الجلد المحضر حيوياً هو عملية أقل إيلاماً من طعوم الجلد ، ويسبب تعقيدات أقل، ولكنه في العموم أكثر تكلفة. وتتم زراعة الجلد المحضر حيوياً غالباً باستخدام خلايا مأخوذة من جلد الغلفة عند الأطفال حديثي الولادة. ومع ذلك، فإن الخلايا الفتية النشطة -وفقاً لفالانجا- قد تحفز المنطقة المتضررة، لدرجة أنها تتطلب طاقة أكبر من التي تزودها. أما الجلد المحضر حيوياً والذي يعتمد على خلايا البالغين الأقل نشاطاً، فقد يكون في الواقع أكثر فعالية في مساعدة الجروح على الشفاء.
ولا تعمل بدائل الجلد تماماً مثل الجلد الحقيقي. ومع ذلك، فقد أفاد باحثون من اليابان، أنهم قاموا العام الماضي بتنمية جلد واقعي لفأر من الخلايا الجذعية، وزرعوه بنجاح على القوارض الأخرى. وعندما قام العلماء في السابق بتنمية الجلد من الخلايا الجذعية، تمكنوا من الحصول على طبقات من الخلايا تحاكي طبقة الجلد الخارجية فقط. ولكن الجلد الجديد أعاد تشكيل كل الطبقات الثلاث الموجودة في الجلد، فضلاً عن تكوين بصيلات الشعر والغدد الدهنية (التي تنتج إفرازات دهنية لتليين الجلد).
ويشكك فالانجا في أن هذا النوع من الجلد المحضر حيوياً سيبلي بلاء حسناً في الجروح المزمنة. ويقول: "يريد العاملون في مجال الهندسة الحيوية أن يعيدوا إنتاج ما هو موجود مسبقاً في الطبيعة. ونحن نريد الحصول على منتج يبدو مشابهاً تماماً للجلد". ولكن الجروح التي تستغرق وقتاً طويلاً حتى تشفى تفتقر إلى المدد الدموي المناسب، أو لديها مشاكل أخرى تمنعها من الشفاء. ولذلك قد تكون غير قادرة على الحفاظ على عمل الجلد بشكل طبيعي بما تتطلبه من طاقة عالية.
ومع ذلك، يأمل الفريق الياباني أن يساعد الجلد المحضر مخبرياً الناس المصابين بالحروق والندوب والأمراض الجلدية كداء الثعلبة.
يقول تاكاشي سكوجي، المؤلف المشارك في الدراسة، والذي يعمل في مركز ريكين لعلم الأحياء التنموي في بيان صحفي: "حتى الآن، تعيق حقيقة أن الجلد يفتقر إلى أعضاء هامة، كبصيلات الشعر والغدد الإفرازية تطور الجلد الاصطناعي. ومن خلال هذه التقنية نجحنا في تنمية جلد قادر على تكرار وظيفة النسيج الطبيعي".
ويرى تسوجي أن الجلد الواقعي يقرب العلماء من حلمهم في تنمية أعضاء كاملة يمكن زرعها عند البشر.
الاستغناء عن الحيوانات
ولكن العلاجات الطبية ليست الاستخدامات الوحيدة لبدائل الجلد. فلدى تسوجي وفريقه هدف آخر يفكرون في إنجازه، حيث يمكن أن يستخدم الجلد الواقعي في اختبار مستحضرات التجميل بدلاً من الحيوانات.
وهناك بالفعل العديد من الشركات التي تكرس عملها لهذا الغرض فقط. وتبيع شركة مات تيك التي تتخذ من بوسطن مقراً لها، الجلد المحضر مخبرياً إلى شركات أخرى تقوم بتصنيع منظفات الغسيل، ومساحيق التجميل، والكريمات المضادة للشيخوخة، وغيرها من المواد الكيميائية.
وبشكل مشابه لجلد السلحفاة البحرية الذي حضره وورك، هذه القطع الجلدية صغيرة ولا تزيد سماكتها عن ميلليمتر واحد. وتمت تنميتها من خلايا جلدية ناتجة عن إجراءات جراحية، كشد البطن والختان. وقد أخبر أحد زبائن شركة مات تيك مجلة وايرد بأن هذا الجلد هو بديل أفضل للجلد البشري الحقيقي من الجلد الحيواني.
وسيوفر الجلد المصنّع مخبرياً قريباً بديلاً عن الجلود أيضاً. وتقوم شركة موديرن ميدو بتعديل الخلايا الحيوانية وراثياً لإنتاج الكولاجين الذي يستخدمونه لتصنيع الجلود التي تشبه جلود الحيوانات. ويستغرق الجلد المصنع بالطرق الحيوية أسبوعين حتى تكتمل تنميته، بخلاف السنوات التي يحتاجها الحيوان لينمو ويذبح ويدبغ جلده. ولأن الجلد ذا النسيج الخلوي يفتقر إلى بعض الخصائص، كالشعر والدهن، فإن التعامل معه أكثر ملائمة للبيئة من الجلد الحقيقي.
هل يمكن استخدام جلد الزواحف المصنع مخبرياً بدلاً من الجلد المأخوذ من الثعابين والتماسيح الحقيقية في إنتاج الحقائب والأحذية؟ يقول تسوجي: "سنحتاج إلى تحسين هذه التقنية قليلاً قبل أن تصل إلى هذا المستوى. ولكنني أعتقد أن ذلك ممكن".
وهناك أيضاً خبر عن استخدام الحمض النووي لأحد رموز صناعة الأزياء لإنتاج الحقائب والستر الجلدية. حيث ترغب مصممة الأزيار تينا جوريانك في إنتاج جلد اصطناعي باستخدام المادة الوراثية للمصمم الراحل أليكساندر مكوين، والمأخوذة من شعر استخدمه في أحد عروضه عام 1992. وقد قدمت طلباً للحصول على براءة اختراع في المملكة المتحدة من أجل هذه العملية، على الرغم من أن نماذجها الأولية الموجودة حالياً والمصنوعة من جلد الخنزير تبدو مشابهة للجلد البشري.