بدأ الأمر برمته بالصدفة، شأنه شأن معظم الاكتشافات المثيرة.
في أواخر العام 1895، كان الفيزيائي الألماني ويلهيلم رونتجين يختبر بعض التجهيزات في مختبره تحت غطاء أسود من الورق المقوى. وأثناء إجراء تجارب على بعض الأشكال المعروفة من الضوء، رأى ضوءاً مشعاً ذا سلوك لم يره أحد من قبل. فلم يخترق الغطاء وحسب، بل قطع مسافة إضافية بقيمة 2.7 تقريباً.
أطلق رونتجين على هذه الأشعة الجديدة اسم أشعة إكس (نظراً لأن الحرف إكس هو الاسم الشائع للمتحول المجهول في المعادلات الرياضية، ولهذا السبب تسمى أيضاً بالأشعة السينية، نظراً لاستخدام حرف السين بمثابة إكس)، وتبين له أنها اخترقت الكثير من المواد المعروفة، بدءاً بالورق المقوى وانتهاء بالنسج اللينة. ولكن هذه النبضات الغامضة كانت تتوقف فجأة عند العظام أو المعادن.
أوحى الاكتشاف بالرعب والأمل في نفس الوقت. ويقال أن آنا بيرثا، زوجة رونتجين، رأت صورة ليدها، وبدت فيها العظام بشكل واضح مع خاتم الزواج، وقالت: "لقد رأيت موتي!"، ولم تعد إلى المختبر بعد ذلك مطلقاً. ولكن من ناحية أخرى، رأى الطب في الأشعة السينية الكثير من الإمكانات العلاجية.
يقول أربان بانيرجي، الرئيس السابق للجمعية البريطانية لتاريخ الطب الشعاعي ومؤلف كتاب "تاريخ الطب الشعاعي": "في الواقع، فقد أدرك رونتجين وغيره، وبسرعة، إمكانية استخدام الأشعة السينية في الطب، وأن هذا الموضوع لن يتحول إلى مجرد ورقة بحثية فيزيائية ستنشر وتضيع في غياهب النسيان".
على الرغم من ازدياد دقة تكنولوجيا التصوير الشعاعي، فإن المبدأ الأساسي للحصول على صور الأشعة السينية لتحليل الحالة الطبية للبشر لم يتغير بشكل ملحوظ. ولكن الخبراء يقولون أننا قد نكون على أعتاب ثورة جديدة في التصوير الطبي، وهي ثورة قد تعيد الألق للأشعة السينية.

مصدر الصورة: ويكيميديا كومونز
حالياً، يمكن الحصول على صورة شعاعية أساسية تحاكي صورة رونتجين، وتسمح لنا بالنظر تحت الجلد بدون مبضع، لدى كل طبيب أو طبيب أسنان في البلاد. ولكن صور الأشعة السينية أخذت الكثير من الأشكال الجديدة منذ حوالي 120 سنة، عندما أصيبت آنا بيرثا بالذهول لرؤية يدها. ولم يحتج التقنيون إلا إلى بعض الوقت والجهد حتى يكتشفوا أن صور الأشعة السينية يمكن أن تظهر أكثر من المواد الصلبة مثل العظام وحسب. وعلى سبيل المثال، فإن إدخال عنصر الباريوم إلى جسد المريض يتيح للطبيب رؤية النسج اللينة للقناة الهضمية.
بحلول الخمسينيات، أصبح تصوير الأوعية الدموية طريقة شائعة لتقييم الانسدادات في النظام القلبي الوعائي. وبشكل مشابه لاختبار ابتلاع الباريوم، يقوم الأطباء بحقن الأوعية الدموية للمريض بمادة عالية التباين مثل صبغة الأيودين، ومن ثم توجيه الأشعة السينية إليهم، والحصول على صور للأوعية الدموية للمريض أشبه بأشكال العنكبوت. وعلى حين أن الباريوم يظهر القناة الهضمية بشكل ساطع في الصورة، فإن تصوير الأوعية الدموية يفيد في تحليل ومعالجة الانسدادات وغيرها من الاضطرابات.
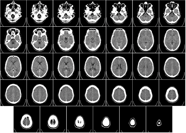
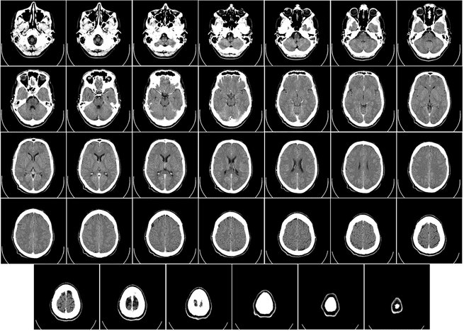
ربما يكون التطور الذي أتى في السبعينيات هو الأهم، مع ظهور أول آلة تصوير مقطعي محوسب بالأشعة السينية، أو ماسح سي تي. وباستخدام الحساسات لتحديد خرج الأشعة السينية التي تخترق جسد المريض، تقوم الآلة بتركيب صور دقيقة للعظام، والأعضاء، والنسج اللينة في نفس الوقت. ونظراً لاختلاف درجة اختراق الأشعة لكل مادة في جسد المريض، يمكن للآلة أن تميز بنجاح ما بين الذراع والطحال، وترسم الاثنين بدقة. يقول بانيرجي: "يعتبر هذا أحدث التطبيقات العصرية للأشعة السينية".

مصدر الصورة: ويكيميديا كومونز
على الرغم من كل الفوائد المحتملة للأشعة السينية، فقد كانت مخاوف آنا بيرثا في محلها. حيث أن الأشعة السينية كانت في بداياتها ضعيفة، وتتطلب 15 أو 20 دقيقة من وقت التعرض لتوليد مجرد صورة لليد، وفقاً لبانيرجي. ولهذا، كانت تتسبب بسهولة بالحروق، والتي يمكن أن تؤذي بأكثر من طريقة. وقد تعرض مساعد توماس إديسون في أبحاث الأشعة السينية، كلارينس دالي، إلى الإشعاع بشكل متكرر لدرجة الإصابة بسرطان منتقل في الجلد، ما أدى إلى وفاته بعمر 39 عام. قال إديسون لدى وفاة دالي: "فقدت الرغبة بمعرفة أي شيء إضافي عن الأشعة السينية".
منذ بداية القرن العشرين، حاول الباحثون إيجاد طرق للتخفيف من أثر الإشعاع، وحققوا الكثير على أكثر من صعيد، بدءاً من الألبسة الواقية كالمريول ذي المعادن الثقيلة الذي ترتديه عند طبيب الأسنان، وصولاً إلى الاعتماد على الأشعة السينية الرقمية بدلاً من الأفلام التقليدية، والتي تتطلب صورها قدراً أقل من الأشعة. ولكن أكبر التطورات هي تعديل التيار الأنبوبي وإعادة التشكيل التكرارية، ولم تظهر بشكل فعال سوى منذ عقد تقريباً، وفقاً لبيب آلين، وهو المسؤول الطبي الرئيسي لمعهد علوم البيانات في الجامعة الأميركية للطب الشعاعي.
إن تعديل التيار الأنبوبي في آلة التصوير المقطعي يعني أن جرعة الأشعة تتغير وفقاً للجزء من الجسم الذي يتم تعريضه لها. وفي عمليات المسح الكامل للجسم، يتم إطلاق الأشعة إلى الجمجمة الصلبة بمقدار أكبر من الأشعة المستخدمة للرئتين المليئتين بالهواء، ما يسمح بمرونة أكبر في التعامل مع وقت التعرض الكلي. أما إعادة التشكيل التكرارية فهي العملية التي تقوم بها خوارزمية في آلة التصوير المقطعي بتجميع صور عالية الدقة للجسم، وبتخفيض الضجيج وتوضيح الصورة، يمكن للمريض أن يقلل من الوقت الذي يقضيه تحت تأثير الإشعاع في هذه الآلة الضخمة الشبيهة بالكعكة المحلاة.

مصدر الصورة: ويكيميديا كومونز
تبدو عملية تشكيل الصور الشعاعية الطبية حالياً شبيهة بما كانت عليه عند اكتشاف الأشعة السينية. حيث يتم توليد الأشعة وتوجيهها نحو الهدف البشري، ومن ثم يقوم البشر بتحليل الصور الناتجة. ولكن ماذا عن الأشعة السينية في المستقبل؟
يشغل دونالد أمستادر منصب بروفسور في الفيزياء في مختبر الضوء الشديد في جامعة نبراسكا. وهو رئيس الفريق الذي بنى ليزر ديوكليس، ويشرف على صيانته واستخدامه، وهذا الليزر عبارة عن جهاز يولد شعاعاً أشد سطوعاً من الشمس بعشرة ملايين ضعف. يقول أمستادر: "لقد اكتشفنا شيئاً جديداً ولم يسبق أن شوهد داخل مختبر من قبل". ويضيف أنه قد يغير مستقبل الصور الشعاعية.
عندما قام فريق أمستادر بتركيز ليزر ديوكليس على شعاع إلكتروني، تمكنوا من تشكيل ظاهرة أطلقوا عليها اسم التبعثر متعدد الفوتونات. يقول أمستادر: "ليس هذا السلوك الضوئي أمراً جديداً وحسب، بل إنه طريقة جديدة لتوليد الأشعة السينية، أي أنه بشكل أساسي طريقة جديدة لتوليد الضوء". صحيح أن الأشعة السينية التي يولدها الليزر مشابهة لتلك التي ولدها رونتجين في مختبره، ولكن طريقة التوليد مختلفة. يتابع أمستادر: "تبين لنا أن الأشعة السينية التي نولدها تعادل جرعة أقل بمائة مرة مما تولده آلة الأشعة السينية التقليدية، وبالتالي فإنها أكثر أماناً". وإذا تمكن الباحثون من تصغير ليزر ديوكليس بحيث يتسع داخل مستشفى أو حتى عيادة طبيب أسنان، فقد يكون أمراً رائعاً لسلامة كل من الطبيب والمريض.
يركز بانيرجي وآلين، وكلاهما طبيب أشعة متمكن، على احتمالات استخدام الذكاء الاصطناعي لتفسير صور الأشعة السينية باستخدام التعلم الآلي. ومن الجدير بالذكر أن الذكاء الاصطناعي يبلي حسناً في المهام التشخيصية، على الأقل في ظروف محددة. ففي 2017، بين باحثون في ستانفورد أن خوارزميتهم قادرة على تشخيص الإصابة بذات الرئة باستخدام صورة بالأشعة السينية للصدر، وبشكل أفضل من أطباء الأشعة البشر، وفقاً لبيان صحفي من الجامعة. وفي وقت سابق من هذه السنة، وافقت الإدارة الأميركية للغذاء والدواء على أداة تستخدم الذكاء الاصطناعي لمسح أعين المريض بحثاً عن اعتلال الشبكية السكري. وقد يتمكن ممارسو الطب العام قريباً من تشخيص هذه الإصابة لدى مرضاهم بدون الحاجة لإرسالهم إلى أخصائي بطب العيون للحصول على تقييم احترافي.
قد يكون تفاؤل آلين مبالغاً به بعض الشيء، ولكنه يقول: "أنتظر بفارغ الصبر وصول الذكاء الاصطناعي إلى مرحلة يتمكن فيها من رؤية أشياء لا نستطيع نحن البشر رؤيتها في الصور".