ينقطع تدفق الدم إلى الشبكية فتصاب العين بالجلطة، كيف يمكن معالجة هذه الحالة؟
ليس المخ فقط من يصاب بالجلطات، العين أيضاً عُرضة لنفس الأمر، ما هي طبيعة جلطة العين؟ ومن هم أكثر الحالات المعرضة للإصابة بها؟
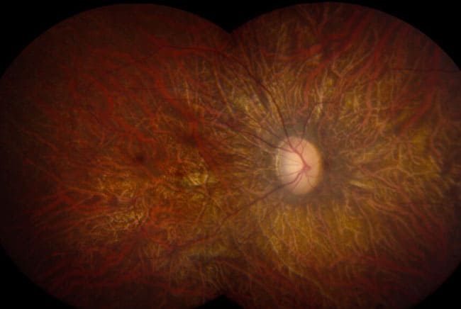
تصاب العين بالجلطة لأنها مثل أي عضو في الجسم، تحتاج إلى الدم المحمل بالأكسجين لتؤدي وظيفتها، وتلعب الشبكية دوراً مفصلياً في إرسال إشارات الرؤية من وإلى المخ. كما تحتوي على شرايين وأوردة تحمل الدم من وإلى القلب. تسمى جلطة العين بانسداد الشريان الشبكي، وتحدث بسبب انسداد الشريان الشبكي المحمل بالأكسجين إلى الخلايا العصبية التي تقع في الشبكية، أو تضييق الأوعية الدموية في الشبكية. ينتج عن هذا النقص الحاد في الأكسجين رؤية ضبابية، وقد يؤدي إلى فقدان النظر بشكلٍ تام.
فقدان فجائي في النظر أعراض جلطة العين
تعتبر جلطة العين أقل شيوعاً من جلطة المخ، والفقدان الفجائي للرؤية هو العرض الرئيسي لجلطة العين، وهو يحدث عادةً في عينٍ واحدة، ولا يشعر المصاب حينها بألم. لكن قد تنشأ أعراض أخرى مثل الرؤية المشوهة، أو النقاط العمياء، والفقدان الجزئي أو الكلي للنظر. يقول «رالاف ساكو» طبيب المخ والأعصاب بكلية طب ميامي ميللر: «تعتبر شرايين الشبكية هي جزء من الجهاز العصبي، وجزء من المخ، لذا ينبغي معاملة جلطة العين كحالة طارئة تماماً مثل جلطة المخ».
أما عن أنواع جلطة العين، فتُقسم إلى 4 أنواع تبعاً للأوعية الدموية التي أصيبت كالآتي:
- انسداد وريد الشبكية الرئيسي.
- انسداد شريان الشبكية الرئيسي.
- انسداد الوريد الفرعي للشبكية.
- انسداد الشريان الفرعي للشبكية.
لا يخضع معظم المرضى المصابون بجلطة العين لكشف دوري على العين. ووفقاً للأكاديمية الأميركية للعيون، فإن كبار السن -خاصة في الستينياتهم من عمرهم- يتعرضون لجلطة العين، كما أنها تصيب الرجال بنسبة أكبر من النساء، ويصاب نسبة من 1 إلى 2% بجلطة في كلتا العينين.
ويتعرض للإصابة بشكل كبير من يعانون من الأمراض الآتية:
- المصابون بأمراض في الشريان السباتي.
- المصابون بتصلب الشرايين.
- مرضى السكر، أو من يمتلكون تاريخاً عائلياً للسكر.
- المصابين بارتفاع نسبة الكوليسترول في الدم.
- الإصابة بخبطات في العين.
- المصابون بارتفاع ضغط الدم.
- استخدام حبوب منع الحمل.
- الحوامل.
- المصابون بالأورام القلبية.
- إساءة استخدام الأدوية الوريدية.
- المصابون بالجلوكوما (الزَرَق).
- من عانوا في السابق من أزمات قلبية.
6 أمراض تصيب العين مع التقدم في العمر
هل هناك علاج لجلطة العين؟
يكمن عامل السرعة الأهمية القصوى في العلاج، ويعتمد العلاج على المسبب للجلطة. أحد وسائل العلاج هي تدليك العين وهي مغلقة بأحد الأصابع، واستخدام عقاقير لإذابة الجلطة، وتوسيع الشرايين عند طريق تنفس خليط من الأكسجين بنسبة 95%، وثاني أكسيد الكربون بنسبة 5%. كذلك إزالة السائل من أمام العين بواسطة إبرة لتقليل ضغط العين الداخلي، وتقليل ضغط العين بواسطة الأدوية.
علاج جلطة العين بالحقن والليزر
يمكن علاج جلطة العين بحقن دواء معين، يتضمن ذلك الحقن داخل الجسم الزجاجي للأدوية المضادة لعامل النمو البطاني الوعائي، وهي أدوية تستهدف عامل النمو البطاني الذي يسبب الوذمة البقعية. أو يمكن حقن أدوية الكورتيكوستيرويد داخل الجسم الزجاجي، وهي تعمل على مكافحة المكونات الالتهابية التي تؤدي إلى الوذمة.
من الوسائل الأخرى لعلاج جلطة العين، الليزر؛ يمكن العلاج بالليزر البؤري فهو يستهدف مناطق التورم لتقليل الوذمة، وكسر الانسداد في الأوعية الدموية ومنع حدوث المزيد من الضرر. يوجد علاج آخر لجلطة العين يعتمد على الضوء يسمى علاج التخثير الضوئي لعموم الشبكية، ويستخدم عندما يكون لدى المرضى تكوين أوعية دموية جديدة بعد انسداد الوريد الشبكي.
طرق متعددة قد تساهم في علاج بعض حالات فقدان البصر
وسائل الوقاية من جلطات العين
أهم وسائل العلاج هي الوقاية من الإصابة بالجلطة نفسها عن طريق تجنب عوامل الخطر، حيث أن العوامل التي تعرض لتصلب الشرايين هي ذاتها العوامل التي تزيد من قابلية الإصابة بجلطة العين. وهي ارتفاع ضغط الدم، والكوليسترول، وعدم انتظام ضربات القلب، والارتعاش الأذيني.
هناك نصائح عامة للحفاظ على صحة الأوعية الدموية مثل ممارسة نشاط رياضي بحد أدنى ساعتين ونصف أسبوعياً، وتناول أطعمة صحية مثل الخضروات، والحبوب الكاملة، والابتعاد عن الدهون غير المشبعة. والابتعاد عن التدخين. كذلك إذا كنت مريض بالسكر فلابد من المتابعة الدورية لفحص العين.
وختاماً، جلطة العين حالة حرجة، إذا لم تُعالج على الفور فهي تؤدي إلى فقدان النظر بشكل دائم، وكذلك فإن الجلطة الدماغية أحد أعراضها أيضاً الفقدان الفجائي للرؤية، لذا إذا شعرت بفقدان الرؤية فجائياً، أو تعرضت لرؤية ضبابية فيجب التوجه إلى المستشفى على الفور.
قطرة قد تمنع العمى لملاين الأشخاص
هل يعود النظر بعد التعرض لجلطة العين؟

تختلف التوقعات طويلة المدى للأشخاص المصابين بجلطة العين كثيراً، ويعتمد ذلك على شدة السكتة الدماغية ونجاح العلاج والشرايين أو الأوردة المصابة، يتعافي الكثيرون ويستعيدون معظم قدراتهم البصرية، والبعض لا يستعيدون الرؤية إطلاقاً. فقد وجدت دراسة أن 80% من الأشخاص الذين أصيبوا بجلطة العين يعانون من فقدان البصر بنسبة 20/400 أو أسوأ. وفي بعض الحالات، قد يستعيد الشخص بصره قليلاً بمرور الوقت.
وتقول دراسة أخرى أن فقدان البصر يمكن أن يتحسن لدى العديد من الأشخاص، اعتماداً على نوع الجلطة التي أصيبوا بها. ونظراً لأن انسداد الأوعية الدموية في شبكية العين عادةً ما يؤثر على عين واحدة فقط، فقد يتكيف الدماغ مع التغيير في الرؤية بعد بضعة أشهر، ويصبح فقدان البصر مشكلة أقل بالنسبة لك.
